| Pannoramic Scanner 数字切片扫描软件 | 
		
			| 
					  | 
		
			| 
					
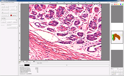
						扫描预览功能,包括切片的编号,以及切片扫描的区域位置。 
					
						可以对图像进行对比度、亮度和Gamma校正,便于分析。 
					
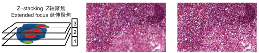
						Z-Stack聚焦功能 
					
						Extended focus延伸聚焦功能可实现多层图像融合,数码聚焦 
					
						图像能兼容JPEG、PNG、BMP格式,对图像能进行无损压缩,兼容DICOM3.0协议 
					 | 
		
			| 
					  | 
		
			| 
					Pannoramic Viewer 数字切片浏览软件 
				 | 
		
			| 
					  | 
		
			| 
					
						可进行1X、2X、5X、10X、20X、40X及有效倍数内任意无级缩放功能 
					
						浏览历史记录:不同放大倍数的已浏览图像区域,可不同颜色区别显示 
					
						同屏对比功能:同时显示多张图像,可以同时控制这些图像进行操作,比如放大或者缩小移动位置等 
					
						图像标注功能:可在图像上添加注释,便于教学
 | 
		
			| 
					细胞核染色与细胞膜染色同屏对比: 
				 | 
		
			| 
					  | 
		
			| 
					HistoQuant组织定量分析软件 
				 | 
		
			| 
					本软件是一款针对组织样本和细胞样本的定量、定性分析软件。可进行细胞技术、细胞特性评估,以及腺体、血管组织形态结构、数量的评估。软件基于光密度和色值的彩色图像分割,具有批处理能力。通用分析软件,用于明场及荧光图像分析。 
				 | 
		
			| 
					  | 
		
			| 
					NuclearQuant细胞核分析软件 
				 | 
		
			| 
					本软件可自动评估免疫组化细胞核染色(ER、PR和Ki-67等)的数字切片样本,采用色彩去卷积算法,用染色强度训练软件,采用ALLRED评分法,自动将细胞核分成阴性、弱阳性、中阳性和强阳性等级别。 
				 | 
		
			| 
					  | 
		
			| 
					MembraneQuant细胞膜分析软件 
				 | 
		
			| 
					本软件可自动评估免疫组化细胞膜染色(HER-2和EGFR等)的数字切片样本,采用色彩去卷积算法,用染色强度训练软件,采用ALLRED评分法,自动将细胞核分成阴性、弱阳性、中阳性和强阳性等级别。 
				 | 
		
			| 
					  | 
		
			| 
					TumorBoard肿瘤筛查分析软件 
				 | 
		
			| 
					提供类似于肿瘤委员会的切片分析管理功能,适用于在同一组织块的连续切片上进行不同染色(HE/IHC/FL)后,进行不同蛋白表达的比较。可以进行切片旋转和校正,按照预设在多张切片上同时进行操作,获得更加客观可靠的结果。 
				 | 
		
			| 
					  | 
		
			| 
					乳腺组织病理切片:常规HE染色、三种不同的IHC染色、荧光染色 
				 | 
		
			| 
					FISHQuant荧光原位杂交分析软件 
				 | 
		
			| 
					自动分类正常、不正常的荧光原位杂交细胞核,可增加更多的多功能嵌入式的和易于更改的探测装置。 
				 | 
		
			| 
					   
					  
				 | 
		
			| 
					3D View三维组织重建  
				 | 
		
			| 
					对同一组织块连续切片数字化后,利用三维组织重建技术,还原三维组织结构。自动对齐或手动调整非重叠连续切片,可从任意角度对3D对象的重新切割,研究各层间细胞结构的变化,可在三维结构中进行细胞计数机长度面积等的测量。 
				 | 
		
			| 
					  | 
		
			| 
					  
				 | 
		
			| 
					  
				 | 
		
			| 
					Case Report 数字切片报告 
				 | 
		
			| 
					本软件将病人数字切片的实际扫描图像及测量数据以报告的形式打印出来,实现病理报告格式的数据化、标准化。 
				 | 
		
			| 
					  | 
		
			| 
					CaseCenter病例中心及远程会诊 
				 | 
		
			| 
					设立服务器访问段,将全信息数字切片上传,可指定专家或面向开放专家阅片,可进行病理学网上会议;专家拖拉图像也可交由任一操作者执笔,即客户端和专家端均可控制数字切片的拖动、缩放等。 
				 | 
		
			| 
					  | 
		
			| 
					特点: 
				 
					
						通信安全应用HTTPS 
					
						针对请求访问需配置交换机/路由器 
					
						远程用户访问需验证 
					
						符合HL-7协议,可与HIS/LIS/PIS通讯 
					 
					  
				 
					  
				 
					  
				 |