InSyTe FLECT/CT-应用实例 
	
	
		 
 
	
	
		
 
	
	
		       针对大鼠和小鼠(裸鼠)活体,通过探测器旋转360°采集荧光信号,结合  600nm-900nm范围的近红外激发光源,可获得动物深层组织的荧光信号,并进行无损耗的三维重现,彻底解决了传统设备荧光探测深度不够、二维光斑不能精确定量和重建的问题,使得荧光设备第一次如CT一样实现真正的活体三维成像。  
	
	
	
	  肿瘤研究                                                                
	
	 
 
	乳腺癌模型-肿瘤成像 
	 
	InSyTe FLECT/CT能够评估荧光染料Cy7 
	标记的活化血小板靶向抗体肿瘤的靶向性和成像能力。 
	点击进入成像实验内容详解 
	
	
		 
 
	
	非小细胞肺癌模型-肿瘤(CT成像) 
	
 
	使用InSyTe FLECT/CT的CT模块评估使用SAH-EJ2和对照肽(SAH-Con)治疗2个月的NSCLC肿瘤抑制效果。 
	点击进入 
	
	
	  神经科学                                                                
	
	
		 
 
	
	
		原位脑胶质瘤模型-药物递送 
	
	
		
 
	
	FLECT和CT图像与同一只小鼠的MR图像共配准 
	监测新型组合治疗药物结合物的分布情况。 
	点击进入
 
	
 
	
		
	
	
		 
 
	
	
		
	
	
		 
	
	
		
 
	
	
		
 
	
	
		脑损伤模型-颅骨骨折(CT成像) 
	
	
		
 
	
	创伤性脑损伤伴颅骨骨折加重神经炎性反应 
	使用CT无创可视化损伤的冲击区域 
	评估撞击位置的颅骨厚度和骨密度。 
	 
	
	
	
	
	
	 心血管疾病                                                             
	 
 
	
	
 
	
 
	颈动脉血栓塞模型-诊断成像 
	
		 
	
	检测体内动脉血栓和肺栓塞的形成 
	点击进入
 
	
	
	
	 肝系统疾病                                                             
	
 
	 
 
	非酒精性脂肪性肝病模型-外泌体成像 
	 
	外泌体递送miRNA序列在肝脏显著积累 
	调节NAFLD中的肝脏脂质代谢。 
	点击进入 
	
	
	 纳米生物学                                                             
	
 
	 
 
	
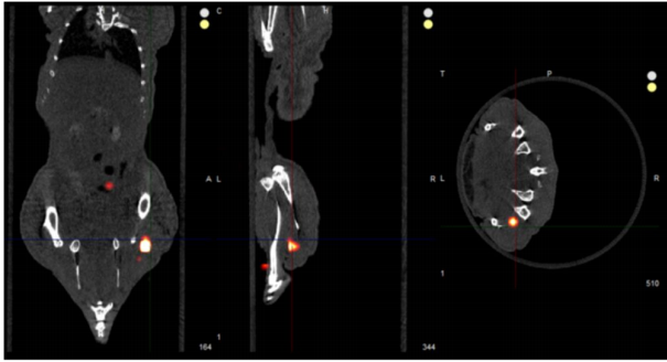
		结直肠癌模型-前哨淋巴结-肿瘤成像 
	
	 
	转铁蛋白包封的纳米粒,靶向肿瘤细胞TfR 
	纳米粒在经前哨淋巴结转移的肿瘤中靶向积累 
	并经肝、肾代谢。 
	点击进入成像实验内容详解
 
	
	 分子探针                                                                
	
 
	 
 
 
 
	
 
	骨靶向-生物分布 
	
 
	对骨靶向结合荧光探针进行全身骨结构三维荧光断层扫描 
	检测在不同骨组织中的生物分布。 
	点击进入